ようこそ、名張かめい歯科・矯正歯科
入れ歯専門サイトへ
あなたの探している入れ歯治療が見つかります。
入れ歯が痛くて噛めない、入れ歯が外れる、入れ歯のバネ目立つ――。もしかしたら、そんなお悩みを抱えていませんか?
当院では、入れ歯治療を大阪大学で専門的に学び、数多くの患者様と向き合ってきた歯科医師が、一人ひとりの口元にフィットする、まるで自分の歯のような入れ歯をご提案します。
「痛みの少ない入れ歯」
「金属のバネが目立たない入れ歯」
「外れにくい入れ歯」
など、多種多様な入れ歯を取り扱っています。
痛みやズレ、見た目を気にせず、
もう一度「噛める幸せ」を取り戻し、活動的で前向きな毎日を送りませんか?
このようなお悩みはありませんか?
- 今の入れ歯が痛くて噛めない
- 入れ歯が外れそうになる
- 硬いものが噛めず、好きなものを我慢している
- どんな入れ歯があるのか、自分に合うものがわからない

上記のようなお悩みが一つでも当てはまるようであれば、
一度、ご相談ください。
当院の入れ歯治療の特徴
FEATURE
1.入れ歯を専門とする歯科医師による
技術に裏打ちされた入れ歯治療

かめい歯科では、大阪大学で入れ歯治療を専門的に学んだ歯科医師が、豊富な知識と経験をもって、一人ひとりに最適な入れ歯を提供します。長年の経験に裏打ちされた「勘所」と確かな技術で、型取りや噛み合わせといった繊細な工程にも細心の注意を払い、患者さまのお口にとフィットする、痛くなく、噛みやすく、外れにくい入れ歯をお届けします。
2.院内併設の歯科技工所による
高精度な入れ歯製作

当院は院内に歯科技工所を併設しています。これにより、歯科医師と技工士が密に連携を取りながら、患者さまの顔貌や噛み合わせを直接確認し、より精度の高い入れ歯を製作することが可能です。また、義歯製作の経験が豊富な信頼ある技工所とも提携しており、最高レベルの技術で製作された入れ歯を提供します。「痛い」「外れる」といったトラブルにも、迅速かつきめ細やかに対応し、お悩みを根本から解消します。
3.最新技術による歯ぐきに
優しい入れ歯を提供します

当院では、「リーバ」というデジタルスキャナーで採得したデータをもとに、3Dプリントで製作する新しい総入れ歯を取り扱っています。柔らかいクッション性がありながらも、はがれにくく、歯茎にやさしいことが特徴のため、負担の少ない入れ歯治療を実現しています。
4.豊富な選択肢から
あなたにぴったりの入れ歯を

「何を選べばいいか分からない」という方もご安心ください。当院では、保険の入れ歯はもちろん、機能性、快適性、審美性を追求した様々な自費入れ歯を取り揃えています。 保険の入れ歯だけでなく、金属床義歯・ノンクラスプデンチャー・コンフォートデンチャーなど幅広い自費義歯も取り扱っています。 それぞれの素材や構造の違い、費用を丁寧にご説明し、ご要望に最も合う入れ歯をご提案します。
5.費用や治療への不安も解消!
無料相談を実施

「今の入れ歯に満足していない」「これから入れ歯を考えているけれど、不安がある」という方のために、入れ歯の無料相談を実施しています。専属のカウンセラーと歯科医師が、あなたの疑問や悩みに親身に対応します。治療を始める前に、ご納得いただけるまで丁寧にご説明しますので、安心してご相談にお越しください。
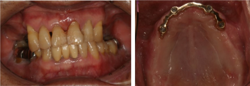
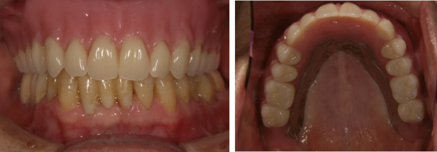
インプラントと精密入れ歯を併用した症例
ケース:重度歯周病の60代男性
-
治療前

-
治療後

| 治療の詳細 | 仕事が忙しく、歯科医院に相談できなかったため、放置していた歯周病が重度に発展し歯がぐらぐらの状態になった。インプラントと精密入れ歯を併用して、よく噛めるようになった。 |
|---|---|
| 費用 | インプラント4本 35万円×4本=140万円(税込154万円) 金属床義歯 35万円(税込38万5千円) 合計金額・・・175万円(税込192万5千円) |
| 期間 | 約1年半 |
| 副作用・リスク | 入れ歯はリスクはありません。 インプラントは、手術後に定期メンテナンスを怠るとインプラント周囲炎になる可能性があります。きちんと定期メンテナンスに通院しましょう。 |
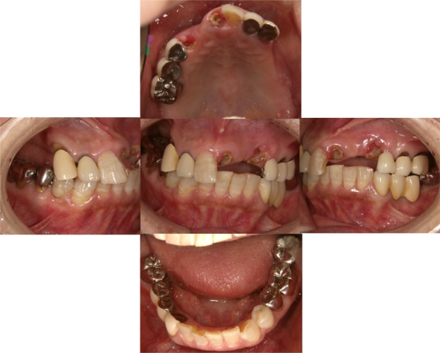
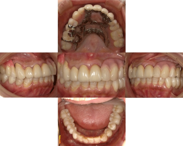
部分入れ歯の症例
ケース:60代女性
-
治療前

-
治療後

| 治療の詳細 | インプラント手術以外をご希望でした。また、目立ちにくく入れ歯を入れていることがわからないような入れ歯をご希望されていたので、クラスプが目立ちにくいノンクラスプ入れ歯にて治療を行いました。 |
|---|---|
| 費用 | 上顎の部分入れ歯 35万円(税込38万5千円) |
| 期間 | 3か月 |
| 副作用・リスク | 入れ歯に副作用はありません。 |
入れ歯治療のメニュー
MENU
-
あなたのお悩み、まずは無料でご相談ください
「今の入れ歯が合わない」「痛くてしっかり噛めない」「どんな入れ歯が自分に合うか分からない」
そんなお悩みをお持ちの方は、まず当院の「入れ歯無料相談」をご利用ください。
無理な治療の押しつけは一切しません。
専門の歯科医師とスタッフが、あなたのお悩みやご希望をじっくりお伺いし、お口の状態に合わせた最適な治療プランをご提案します。
費用や治療の流れ、メリット・デメリットまで丁寧にご説明しますので、どうぞお気軽にご相談ください。
Q.歯を抜けたままにしておくとどうなりますか?
歯を失った部分の隣の歯が倒れ込んできて、噛み合わせの乱れの原因となったり、歯並びが悪くなってブラッシングしづらくなり、虫歯や歯周病のリスクが高まったりするなど、お口の中に様々な悪影響がおよぶ恐れがあります。もちろん、ものがしっかり噛めなくなりますし、見た目も良くありません。特に不便を感じておられなくても、歯科医院で適切な治療を受けられることをおすすめいたします。
Q.口に合っていない入れ歯を使い続けているとどうなりますか?
健康な歯に負担をかけて寿命を縮めてしまったり、顎の骨に噛む力が伝わらず、顎が痩せてしまったり、お口の中の粘膜が床ずれ状態になり、悪化すると口腔ガンを引き起こす恐れがあるなど、様々な弊害が考えられます。我慢して使い続けずに、お気軽に当院へご相談ください。
Q.入れ歯がすぐに外れてしまいます…何とかなりませんか?
当院では安定感に優れていて、従来の入れ歯に起こりがちなぐらつき・外れが起こりにくい「ロケーター義歯」をご提供しております。こちらであれば、すぐに外れるようなことはなく、まるで天然の歯のようにものが噛めるようになります。
Q.入れ歯でも食事を美味しく食べたいのですが…可能でしょうか?
床部分に金属を使用した「金属床入れ歯」でしたら、熱伝導率に優れているので、食べ物の温度差が自然に感じられて、毎日の食事が美味しく味わえるようになります。
「保険の入れ歯」
には限界があります。
当院の入れ歯治療は
痛くない・外れない・噛める
理想をかなえる保険外の治療です
入れ歯治療は、あなたの人生を豊かにする第一歩
はじめまして。院長の亀井 孝一朗です。
あなたが「しっかり噛めている」と感じていても、実はご自身の入れ歯が合っていない、というケースは少なくありません。
ものを噛むことは、食事の楽しみだけでなく、全身の健康と深くつながっています。だからこそ、私たちは、単に「噛める入れ歯」を提供するだけでなく、あなたの生活の質(QOL)を高め、心から笑顔になれる毎日を取り戻すお手伝いをしたいと考えています。
「もう入れ歯だから」と諦めないでください。 当院では、患者様一人ひとりに寄り添い、どんなお悩みにも耳を傾けます。
「今の入れ歯に違和感がある」「もっと美味しく食事をしたい」 どんな些細なことでも構いません。
あなたの人生に、本当の意味で合う”入れ歯を一緒に探し、いくつになっても健康でいきいきとした毎日を送りましょう。
医院概要
INFORMATION
| 医院名 | 医療法人想泉会 名張かめい歯科・矯正歯科 |
|---|---|
| 所在地 | 〒518-0465 三重県名張市赤目町丈六449-1 |
| TEL | 0595-64-3155 |
| 診療時間 | 【月曜・火曜・金曜】 8:30〜17:30 【水曜】10:00〜19:00 【土曜】8:30〜16:30 休診日:木曜・日曜・祝 |
| 駐車場 | 専用駐車場あり(12台) |
| 交通アクセス | 近鉄大阪線「赤目口駅」より徒歩5分 |










